Rivista di formazione e aggiornamento di pediatri e medici operanti sul territorio e in ospedale. Fondata nel 1982, in collaborazione con l'Associazione Culturale Pediatri.
Gennaio 2014 - Volume XVII - numero 1
M&B Pagine Elettroniche
Casi indimenticabili
Avevo una cosa per la testa…
Ambulatorio di Neurologia Pediatrica, Azienda Ospedaliero-Universitaria S. Anna, Ferrara
Indirizzo
per corrispondenza:
sara24282@yahoo.it
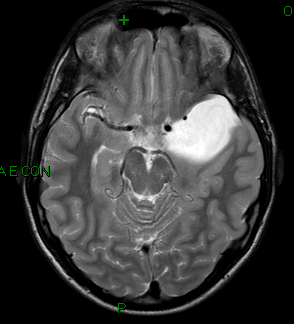
Da maggio 2011 Francesco, 15 anni, ha una sensazione di testa leggera, “vuota”, a sinistra associata a sensazione di fastidio a livello dell’occhio sinistro. Da una settimana si è aggiunto dolore all’orecchio omolaterale. Francesco ha già eseguito una valutazione ORL risultata normale. Giunto al nostro Ambulatorio di Neurologia Pediatrica a luglio 2011, rileviamo un esame obiettivo generale e neurologico normale. Eseguiamo anche l’EEG, che risulta normale. Prescriviamo inoltre, senza urgenza, un approfondimento tramite RM cerebrale. Considerata la necessità di rimuovere l’apparecchio odontoiatrico fisso e la scomparsa spontanea della sintomatologia, si decide di rimandare l’esecuzione della RM. Rivediamo il ragazzo a dicembre 2012: da un paio di mesi il quadro si è ripresentato, con le stesse caratteristiche, quindi Francesco ci porta in visione la risonanza che ha eseguito. L’indagine evidenzia una formazione compatibile con voluminosa cisti aracnoidea in sede temporale polare sinistra (5 x 3,5 x 3,5 cm) che disloca il lobo temporale omolaterale (Figura). ![]() La consulenza neurochirurgica conferma che i sintomi potrebbero essere legati a un’irritazione della dura madre della fossa cranica media sinistra; dato il quadro clinico-strumentale, il neurochirurgo consiglia intervento di fenestrazione della cisti e cisto-subaracnostomia. In attesa dell’intervento, Francesco è in preda alla disperazione… perché gli abbiamo detto che forse è meglio se lascia da parte il suo sport: la boxe. Discussione Le cisti aracnoidee (CA) sono raccolte liquorali circoscritte che si sviluppano tra la superficie cerebrale e la base o la volta cranica. Le CA sono più spesso sovratentoriali; di queste, il 70% circa si colloca nella fossa cerebrale media. Si tratta di un reperto frequente: su uno studio di 11.738 pazienti sottoposti a RM cerebrale di età pari o inferiore a 18 anni, la prevalenza di CA è risultata del 2,6%. Il riscontro è più frequente in età pediatrica (75% dei casi). La maggior parte delle CA è congenita, verosimilmente malformativa; raramente queste cisti rappresentano l’esito di traumi, infiammazioni o sanguinamenti che causano aderenze subaracnoidee. Le CA sono spesso asintomatiche; in questo caso il loro rinvenimento rappresenta un reperto occasionale. I sintomi sono variabili in base alle dimensioni della cisti, alla sede interessata e agli effetti compressivi sulle strutture contigue. I quadri più frequenti sono rappresentati da epilessia, pubertà precoce, idrocefalo ostruttivo. Si tratta di reperti di semplice riscontro alla RM o alla TC: appaiono come masse tondeggianti di densità analoga a quella del liquor; talvolta la densità appare differente per il possibile contenuto iper-proteico o emorragico. Dal punto di vista dell’evoluzione, in alcuni casi le CA rimangono stazionarie nel tempo, altre volte aumentano di dimensioni poiché dotate di attività secretoria propria o per lo sviluppo di meccanismi a valvola unidirezionale. Considerate le possibili complicanze dell’intervento, le più recenti evidenze della letteratura concordano sul riservare la terapia chirurgica ai pazienti con sintomi debilitanti, come cefalea e epilessia, ai pazienti con cisti che aumentano di dimensioni, o a quelli portatori di CA voluminose (> 3 cm di diametro) con effetto massa significativo, come nel nostro caso. Bibliografia di riferimento
|
![]() |
Vuoi citare questo contributo?


